Comunicati Stampa 22 apr 2025

Nuovo colorato murales in Pediatria

Una "sorpresa" di Pasqua con animazione di supereroi

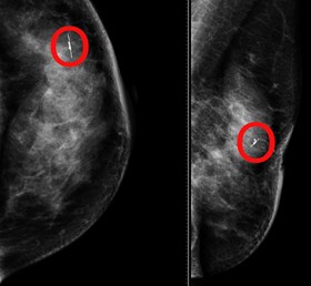
Comunicati Stampa 11 apr 2025

Senologia, “radar” individua lesioni tumorali impalpabili

L'innovativa metodica guida i chirurghi in sala operatoria e permette di avere una cicatrice meno evidente

Gruppo USU
Comunicati Stampa 01 apr 2025

Giornata della persona con lesione midollare

Venerdì 4 aprile, maratona attorno all'Unità Spinale e videocollegamento con Roma